过去的一年,郑州大学第五附属医院胃肠·甲状腺外科不仅为大量胃肠道肿瘤、甲状腺疾病、复杂腹外疝及肛周疾患患者提供了规范化、精准化的诊疗,同时依托河南省医学重点学科“肠瘘与临床营养”建设平台,在腹部术后并发症尤其是肠瘘诊治领域,成功救治了多例危重患者。
这不仅是一份技术报告,更是一段关于思考、决策与守护生命的真实记录。
病例一:肠梗阻、重度感染、晚期肿瘤……在绝境中寻找生机

病情简述:60岁男性,结肠癌肝肺转移,经历多线治疗后并发肠梗阻、肠造口术后出现严重腹腔感染、重度营养不良。
诊疗破局:面对肿瘤压迫、感染、营养不良三重打击,团队未轻言放弃。从精细化的伤口缝合入手,先为患者创造手术条件;最终通过多学科协作,一次性完成“肿瘤切除+感染清理+腹壁重建”的高难度手术。
技术体现:在极端复杂的晚期肿瘤并发症面前,系统的整合救治能力是逆转危局的关键。
病例二:两次术后肠瘘,如何让她免去半年“挂袋”之苦?

病情简述:56岁女性,两次腹膜后手术后出现降结肠瘘。
诊疗破局:按传统疗法,需先做结肠造口(挂粪袋),等半年后再做二次手术还纳。为减轻患者痛苦,团队制定“清创、控感、一期修复”三步法,实施腹腔镜下瘘切除+一期结肠端端吻合术。术后一周患者正常进食,免去了半年造口之苦。
技术体现:精准的术前评估与微创技术,让创伤最小化与疗效最大化不再是单选题。
病例三:咳嗽久治不愈,病根竟在肝脏?

病情简述:67岁女性,结肠癌肝转移术后,顽固性咳嗽、咳黄绿色痰。
诊疗破局:常规抗感染治疗无效,团队从“胆汁样痰液”这一细节敏锐捕捉线索,通过痰液检测与PET/CT,确诊为极其罕见的“胆管-支气管瘘”。随后行微创胆道引流术,患者咳嗽症状迅速缓解。
技术体现:打破常规思维束缚,从细微处见真章,精准诊断是罕见病治疗的基石。
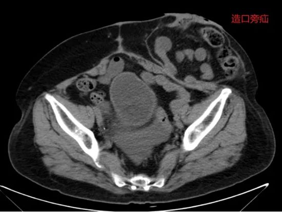
病例四:宫颈癌术后肠瘘+造口旁疝,一次微创手术解决两大难题

病情简述:59岁女性,宫颈癌术后第3天并发乙状结肠瘘。
诊疗破局:团队急诊行腹腔镜手术控制感染并造口。半年后患者要求还纳造口,术前发现合并造口旁疝。经周密规划,在一次腹腔镜手术中同时完成“造口还纳”与“疝修补术”,避免了两次手术创伤。
技术体现:从急诊处理到远期重建,微创外科贯穿始终,体现了系统性治疗的前瞻性。


病例五:多次手术腹壁如“硬板”,复杂肠瘘如何攻克?
病情简述:69岁女性,多次腹部手术史,补片感染后出现严重腹壁肠瘘,重度营养不良。
诊疗破局:面对严重粘连的腹腔和持续感染的切口,团队分步走:先充分引流、控制感染;再通过内镜放置营养管改善营养;最后借助“腹部疑难云平台”多学科会诊,行腹腔镜下精准粘连松解并切除瘘段小肠。
技术体现:复杂肠瘘的救治,是“营养支持+感染控制+精准手术”三位一体的系统工程。
病例六:支架术后肠瘘,历经三次手术未愈,为何选择“等待”

病情简述:53岁男性,肠系膜上动脉夹层术后出现复杂肠瘘,经历三次手术仍无法愈合,入院时白蛋白仅15.0g/L(严重营养不良)。
诊疗破局:面对再次手术的高风险,团队决定“先退一步”,将治疗重点转向营养支持。经过长达3个月的肠内联合静脉营养强化治疗,待患者身体状况改善后,再成功施行“腹腔镜肠粘连松解、瘘口小肠切除+远端回肠及回盲部结肠切除术”,最终成功康复。
技术体现:有时候,充分的术前准备与对手术时机的精准把握,比手术本身更重要。
病例七:四次清创仍找不到瘘口?一场“侦探式”的寻瘘之旅
病情简述:患者胰十二指肠术后并发胆瘘、胰瘘、肠瘘,外院四次清创仍无法控制,瘘口位置不明。
诊疗破局:明确诊断是治疗的起点。团队通过精心设计的多次、多途径造影检查,最终精准定位瘘口位于结肠肝区。明确“敌情”后,先通过营养支持稳住“阵地”,再行回肠造口转流,为后续治疗创造了条件。
技术体现:在复杂的术后并发症中,“诊断先行”的思维是个体化序贯治疗的核心。
病例八:放疗后的“水泥腹”+肿瘤复发,手术刀如何在钢丝上跳舞?

病情简述:52岁女性,宫颈癌术后放疗,盆腔组织严重纤维化。后因肿瘤复发侵犯直肠,形成直肠瘘。
诊疗破局:盆腔放疗导致的组织纤维化是本例治疗的主要难点。盆腔组织血供差,质地脆弱,解剖层次不清,手术风险极高。多学科团队制定了精细的腹腔镜方案,术中以毫米级的谨慎操作完整切除病灶,最大程度保护周围脏器。
技术体现:在“刀锋”上行走,依靠的是对解剖的深刻理解和对生命的极度敬畏。
病例九:肠镜穿孔引发腹膜感染,如何用“最小代价”化解危机?

病情简述:69岁男性,ESD术后结肠穿孔,引发腹膜后感染。
诊疗破局:急诊腹腔镜探查发现瘘口。术中评估感染尚局限,团队果断选择“直肠瘘修补+冲洗引流”的保守手术方案,成功为患者保住了肠道,避免了结肠造口。
技术体现:在急重症处理中,贯彻快速康复理念,以最小创伤解决大问题,是医者不懈的追求。
病例十:花季少女腹痛四年,竟是结肠“长错了”?

病情简述:19岁女性,间断腹痛腹胀4年,辗转求医未果。此次因急性加重急诊入院。
诊疗破局:CT提示结肠梗阻,非手术减压无效。急诊剖腹探查发现元凶是罕见的“结肠重复畸形”并扭转。及时的手术不仅解除了急性梗阻,切除了病变肠段,更找到了困扰她4年的病根。术后患者恢复良好,已回归正常生活。
技术体现:面对罕见急腹症,果断的手术决策与扎实的探查功底,是挽救患者、明确病因的根本。
从新生儿到花季少女,从晚期肿瘤到罕见畸形,每一步都凝结着多学科团队的审慎决策与协力攻关。医学的海洋浩瀚无垠,尤其是在肠瘘等疑难并发症领域,依然存在诸多未知。
这份总结,是一个阶段的终点,更是新征程的起点。前路漫漫,惟精惟一。新的一年,郑州大学第五附属医院胃肠·甲状腺外科将继续以解决疑难重症为己任,用更优质的医疗服务,守护每一位患者的生命尊严。
来源:胃肠·甲状腺外科 杨战锋 罗昭锋 裴俊斐
党委宣传统战部编辑整理