近日,郑州大学第五附属医院癫痫中心团队成功为一例复杂难治性癫痫患者完成经典的Wada试验(颈内动脉异戊巴比妥钠注射试验)。该试验为患者后续手术方案的制定提供了关键的科学依据,体现出医院在癫痫精准评估领域的专业实力。
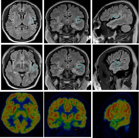
患者为25岁男性,患有药物难治性癫痫长达7年。接诊医师李信晓博士通过仔细询问病情,发现患者近3岁开始学说话,语言发育明显迟缓。术前影像学检查提示其左侧额叶、岛叶及颞叶存在皮质发育不良,但致病灶与语言、记忆等重要功能脑区的关系尚不明确,直接手术风险较高。经神经内科、神经外科、神经心理、神经电生理及影像科专家共同讨论,一致决定采用Wada试验“绘制”该患者的大脑功能地图。

手术在神经外科二病区李培栋主任医师指导下,陈超博士精准穿刺患者股动脉,将微导管超选插入目标颈内动脉,注入小剂量短效麻醉药物,使一侧大脑半球功能暂时抑制。在药物起效期间,团队对患者进行了标准化的语言、命名、记忆等项目测试,同步脑电图监测显示对侧肢体活动出现短暂暂停。
“整个测试如同一次精准可控的‘功能普查’,”李培栋主任医师解释道,“通过暂时抑制一侧半球,我们可以评估另一侧是否能够独立承担关键功能,从而明确癫痫灶是否位于可安全切除的‘非功能区’。”

根据神经电生理科吴艳芝副主任医师的脑电图及测试结果,患者癫痫病灶所在半球仍为功能优势半球。在不影响患者语言与记忆功能的前提下,团队计划进一步实施立体定向脑电图(SEEG)电极植入,为患者制定个性化手术方案。
李培栋主任医师表示:“Wada试验是癫痫外科术前评估的重要方法,尤其适用于病灶靠近语言、记忆等功能区的病例。此次成功开展,彰显了我院癫痫中心多学科协作的优势与精准诊疗的技术水平。”
该例Wada试验的顺利完成,标志着医院癫痫中心在难治性癫痫的评估与治疗领域取得又一进展。中心将继续依托多学科协作模式,深耕前沿诊疗技术,为更多难治性癫痫患者提供精准、安全、有效的个体化治疗方案,助力患者重返健康生活。
来源:神经外科二病区 李信晓
党委宣传统战部编辑整理