头晕、手麻、走路不稳……出现这些症状时,很多人会联想到颈椎病或脑供血不足。然而,对于49岁的麻女士(化名)而言,这些不适的背后,却隐藏着一个更为复杂且凶险的疾病——颅底凹陷症合并寰枢椎脱位、寰枕融合畸形、椎动脉高跨。
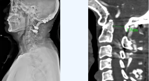
近日,郑州大学第五附属医院骨科二病区成功开展一例高难度的后入路寰枢椎复位钉棒内固定术,顺利解除了患者高位颈髓的严重压迫。

从“头晕乏力”到“行走不稳”:症状背后的致命隐患
近一个月来,麻女士反复出现头晕不适。两天前,症状突然加重,并伴随行走不稳、双手麻木、呼吸困难,以及胸腹部有如被带子紧紧束缚的“束带感”。
经过骨科二病区张长江主任的详细诊查,真相浮出水面:这是一种集多种复杂畸形于一体的颅颈交界区重症,如同在人体生命中枢的“交通要道”上埋下了一颗“不定时炸弹”。

颅底凹陷症:并非普通的“颈椎病”
颅底凹陷症是一种常被忽视的颅颈交界区先天性畸形。通俗来说,可以理解为颅底的“门槛”结构异常升高,导致本应位于其下方的颈椎齿状突向上突入颅腔,从而压迫脑干、脊髓等关键神经结构。其临床表现多样,极易与普通颈椎病混淆:
▲神经压迫症状:头晕、行走不稳、手脚麻木无力、精细动作能力下降;
▲颈髓刺激表现:肢体感觉异常、胸腹部束带感、腱反射亢进;
▲严重并发症:随着压迫加剧,可能导致吞咽困难、饮水呛咳、呼吸困难,甚至突发四肢瘫痪、呼吸心跳骤停,危险性极高。

攻坚克难:多畸形叠加下的高精度手术
面对如此复杂危重的病情,保守治疗已无法缓解进行性加重的神经压迫。张长江主任医师团队经过深入研讨,为患者制定了周密严谨的“三步走”手术方案:
1.完善术前准备
术前牵引复位:通过严格的颅骨牵引,以持续、轻柔的力量尝试将上移的齿状突部分复位,并评估神经耐受情况;
三维手术规划:利用CT血管成像进行三维重建,精确描绘椎动脉异常走行路径,为每一颗螺钉规划出安全的“植入通道”。

2.实施后路复位固定术(核心步骤)
在神经电生理监测与术中全程透视的“双重护航”下,手术团队凭借丰富经验,于解剖结构复杂的“危险区域”精准操作,成功置入全部螺钉,未损伤椎动脉。随后利用钉棒系统,安全、有效地对脱位的寰枢椎进行复位,并植入人工骨实现永久性稳定融合。

3.系统化术后康复
术后,患者头晕、手麻等症状得到显著缓解。在康复医师指导下,她正逐步进行系统性功能锻炼,目前神经功能恢复良好。
张长江主任提醒
若长期存在不明原因的头晕、颈部不适、行走不稳并伴有手脚麻木,尤其当症状呈进行性加重时,务必提高警惕。建议尽早就诊,通过颈椎磁共振(MRI)及CT检查明确诊断。早发现、早干预,是避免不可逆神经损伤、获得良好疗效的关键。
来源:骨科二病区 石镇 方森 唐晓东
党委宣传统战部编辑整理