从四川远道而来的“针织小达人”小吉,再次走进郑州大学第五附属医院神经外科五病区。这一次,她带来了一个“超级大礼包”。




一束以假乱真的针织手捧花,各式憨态可掬的毛线玩偶挂饰,精心制作的漂亮发卡,还有满载祝福的剪纸作品。
“五附院的医生护士们就是我心中的‘爱豆’。这些都是我术后专门为他们做的:手捧花送给叔叔阿姨,玩偶送给医生小哥哥,发卡送给护士姐姐,连他们的孩子也都有礼物。”
这些充满心意的手工作品,让科室瞬间洋溢着温馨的气氛。医生护士们也被小吉的巧手与真情打动,纷纷成了她的“粉丝”。
住院复查期间,小吉依然手不离艺。钩针在她手中灵巧翻飞,毛线渐渐变成一只可爱的小熊;一张红纸,随着剪刀游走,碎屑如雨落下,转眼间,一幅富有中国风的剪纸便跃然指尖。
而就在几个月前,同样在这间病房,小吉还深受难治性癫痫的困扰。她曾辗转多家医院,服用多种抗癫痫药物,但仍频繁出现发作性愣神、不自主动作,最严重时每天发作多次。
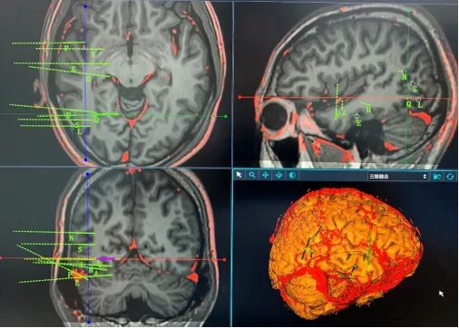
神经外科五病区吴建珩主任、王振主治医师与神经电生理中心吴艳芝主任进行了细致的术前讨论。通过立体定向脑电图技术(SEEG)精准定位,明确了癫痫病灶的位置。医疗团队一致决定:在手术切除病灶的同时,必须全力保护小吉那双能做精细手工的巧手。医者仁心,既要有科学的严谨,也要有人文的温度。
手术非常成功。几个月过去了,小吉再未出现癫痫发作。


如今回来复查,正赶上郑州初雪。窗外寒风呼啸,病房里却暖意融融。小吉用手机拍下医院夜景,欣喜地说:“连路灯都是爱心的形状。”

雪后放晴,走进冬日阳光里,仿佛走进一幅人生剪纸画——每一处被剪去的阴影,都让透进来的光更加明亮温暖。而在那曾被疾病笼罩的画卷角落,通过患者与医生的共同努力,凭借乐观、坚韧、仁爱与希望,已然绽放出一片绚烂繁花。
【科普时间】什么是SEEG
立体定向脑电图技术(stereo-electroencephalography, SEEG)是一种微创的癫痫定位评估方法。该技术最早由法国学者Bancaud和Talairach提出,通过立体定向方式植入脑深部电极,记录癫痫异常放电的起源与传播路径,从时间与空间两个维度进行评估,从而实现对癫痫病灶的精准定位。
SEEG的重要作用
通过术后对大脑三维立体网络的定位分析,对于病灶明确、局限的患者,可仅对癫痫灶进行毁损或切除,尽可能保留周围正常的脑组织结构,实现微创治疗。此外,对于位于功能区的癫痫灶,可通过颅内电极电刺激进一步验证手术方案,避免损伤重要神经功能,显著降低手术风险。
一起来揭开SEEG的神秘面纱


术前规划:多模态影像融合,重建大脑三维解剖结构


机器人导航:精准引导电极植入手术

术后监测:神经电生理全程记录与分析

手术切口(深部电极拔除后):微创美观,恢复快
来源:神经外科五病区 王 振
党委宣传统战部编辑整理