近日,郑州大学五附院血管外科应用肾动脉烟囱技术成功治疗一例复杂腹主动脉瘤。该项手术既隔绝了动脉瘤,又保留了内脏重要分支动脉的供血,为那些不能采用传统腔内移植物的患者带来了希望。本例患者的成功救治,再次体现了血管外科对血管疑难病症的高超诊疗能力。
75岁的王大爷平时心脏就不好,活动后常出现憋喘症状,2周前随儿女们外出旅游期间突发腹痛,持续不缓解,急驱车返回当地市医院就诊,CT检查提示巨大腹主动脉瘤(图1),瘤体直径约10cm,累及右侧肾动脉,因无瘤颈,且瘤体破裂风险巨大,手术复杂,当地医院推荐至河南省医学重点学科——郑州大学五附院血管外科。

▲ 术前CTA(图1)
血管外科学科带头人王兵教授、血管外科崔文军副主任详细评估病情,决定采用微创烟囱手术处理,手术难点是如何既应用覆膜大支架隔绝瘤体,又不会造成右肾动脉缺血。烟囱技术(Chimney technique)是将直径较小的支架与主体支架并列放置于主动脉腔内并延伸至血管分支内,在保障分支血管血流灌注同时,延长锚定区长度,完成主动脉病变的完全腔内修复,手术应用现有设备和耗材,无需定制支架。

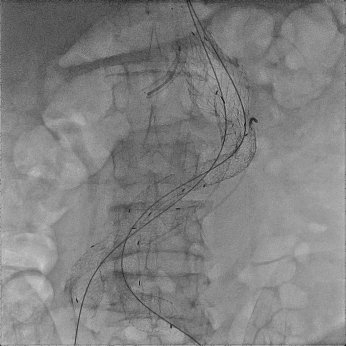
▲ 术中DSA(图2)
王兵教授带领的血管外科团队与胡强夫教授带领的麻醉团队协同配合,应用微创腔内技术,即双上肢动脉穿刺,双下肢股部微小切口,成功的将腹主动脉覆膜支架植入瘤体内,并应用2枚小型覆膜支架保留了右侧肾脏供血,取得了满意效果(图2)。术后,在施敏护士长带领的护理团队的精心呵护下,患者恢复良好,腹痛症状缓解,腹中的“定时炸弹”被成功拆除,出院时复查结果显示效果良好(图3)。

▲ 术后复查CTA(图3)
科普:腹主动脉瘤是一种常见的动脉扩展性疾病,一旦发生破裂,即使采取急诊手术治疗,患者仍将面临重大生命威胁(图4)。因此腹主动脉瘤可谓腹中的“定时炸弹”。在我国,随着人口老龄化、饮食结构、生活习惯的改变等因素,腹主动脉瘤发病率有明显增长趋势。腹主动脉瘤的危险因素包括男性、老年、家族史、吸烟、高血压、高脂血症、动脉粥样硬化和冠心病等。其中吸烟和家族史最为重要。高血压或血压波动可能促进动脉瘤破裂。腹主动脉瘤患者多数无任何症状,部分患者是因为扪及腹部搏动性肿块前来就诊的,少数患者有脐周或中上腹部、腰背部疼痛,疼痛的性质可为钝痛、胀痛、刺痛或刀割样疼痛。值得注意的是,突发的剧烈疼痛往往是腹主动脉瘤破裂或急性扩张的特征性表现,故把腹主动脉瘤突然出现腹痛则视为最危险的信号。动脉瘤破裂,超过50%的患者根本来不及到医院就死于出血性休克。B超可以作为早期普查和筛查的有效手段,而CT对需要密切随访和动脉瘤破裂的患者则更有意义。

▲ 图4
腹主动脉瘤的外科干预包括开放性腹主动脉瘤修补手术和微创介入手术行腹主动脉瘤腔内隔绝术。由于开放手术治疗对患者创伤大,微创介入术手术效果与开放手术相当,并且微创介入术创伤小、病人术后恢复快,对于复杂的动脉瘤治疗亦有一定优势,因此应用微创介入已经成为治疗腹主动脉瘤的首选(图5)。郑大五附院血管外科近年已收治近百余例腹主动脉瘤的患者,大部分应用微创介入的方案进行诊治取得了很好的治疗效果,对腹主动脉瘤累及肾动脉平面,合并髂、股动脉瘤,合并肾动脉狭窄等复杂病例的诊治积累了丰富经验。综上所述,对于老年人,特别是男性,有腹主动脉瘤家族史,合并“三高”或心血管疾病的人群,一旦发现动脉瘤的“蛛丝马迹”,应尽早到医院就诊,应用B超或CT检查,早发现早治疗,以防腹内的“定时炸弹”引爆而危及生命。

▲ 图5
来源:血管外科 吴斐 王梦宇 郭鹏 胡昕涛
宣传科编辑整理