慢性颈动脉长段闭塞病变的手术治疗至今仍是外科难以攻克的禁区,目前只在少数医疗中心尝试开展。此类手术的成功开展既需要高超的外科及神经介入技术,又需要先进、完善的杂交手术室辅助,还需要严格把握手术指征。
2015年卫计委脑卒中防治工程委员会发布的《中国颈动脉内膜剥脱术指导规范》中明确指出了此类手术的开展建议:
1.症状性患者;
2.脑灌注影像证实闭塞侧大脑半球呈现血流动力学障碍;
3.仅在有经验的中心或医师实施;
4.建议在严谨的前瞻性临床试验中实施。
郑州大学五附院国家高级脑卒中中心目前正在参与国家卫计委《缺血性脑卒中颅内外非急性闭塞血管开通治疗的前瞻性多中心登记研究》项目,已成功开展此项手术数例,并取得了满意效果。
近日,郑州大学五附院王兵教授带领的血管外科团队、吕军教授带领的介入团队及胡强夫教授带领的麻醉团队协同配合,多学科联合作战,再次为一例颈内动脉全程闭塞患者成功实施复合手术。


▲ 术前CTA


▲ 术前PWI
患者赵某今年47岁,近2个月间断出现左眼视物模糊,伴发头晕和右手无力,2天前突发左眼失明,在医院眼科治疗期间发现罪魁祸首竟是左颈内动脉闭塞,后转至血管外科行手术治疗。经过完善的术前检查、评估及充分的手术准备,三个优秀团队协同奋战三个多小时,手术顺利完成。患者术前评估ABCD2评分为6分,提示卒中高发风险。术后右侧肢体无力及头晕症状明显缓解,ABCD2评分降为2分,极大降低了远期脑卒中发生风险。遗憾的是,由于该患者来院诊疗时间较晚,出现了左眼的不可逆的视力损伤,最终视力无法恢复正常。在此,也需要提醒广大患者朋友,出现各种不适症状切勿延误治疗,避免错过最佳治疗时机。本例患者的成功救治,再次体现了郑州大学五附院血管外科对疑难病症的高超诊疗能力,体现了多学科协同作战的独特优势。

▲ CEA术中剥脱斑块


▲ 缝合左颈内动脉切口后,左颈总动脉置入鞘管、造影

▲ 左大脑中动脉显影

▲ 全程球囊扩张

▲ 路图下植入3枚支架

▲ 支架植入后造影颈内动脉全程通畅

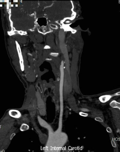
▲ 术后复查CTA


▲ 术后PWI
由于在脑卒中防治工作方面的突出成绩,郑州大学五附院于2016年被国家卫计委脑卒中防治工程委员会授予“国家卫生计生委脑卒中筛查与防治基地和高级卒中中心”单位。标志着医院在脑卒中防治领域达到了国内先进水平。郑州大学五附院高级卒中中心涵盖了神经内科、神经外科、急诊科、介入科、神经重症监护室、康复医学科、血管外科、影像科、检验科、超声科等相关科室,其中神经内、外科、血管外科、康复科是省级重点学科,技术力量雄厚。其中颈动脉内膜剥脱术(CEA)及颈动脉支架植入术(CAS)手术例数均居全国先进水平。尤其是复合技术治疗颈动脉长段闭塞的顺利开展,将为更多患者带去福音。
来源:血管外科 吴斐 王梦宇 郭鹏
宣传科编辑整理