如果把心脏比作一个需要精心检修的房间,常规超声就像在外部观察,而经食道超声心动图,则像拿到了一把“内部钥匙”,让医生能从相邻的“管道”(食道),隔着一层薄壁,对心脏进行一场清晰无死角的“内部勘查”。这项检查虽听来令人紧张,实则是心脏诊断领域一种不可或缺的检查方式。
一、为什么需要它?
普通心脏超声不够吗?
常规的经胸心脏超声就像一台便携的“外部摄像机”,透过胸壁探测心脏,无创、方便,能解决大部分心脏结构问题。
但有时,这台“摄像机”也会遇到“干扰”:
“墙壁”太厚:对于肥胖、患有肺气肿、胸壁畸形或曾接受胸腔手术的患者,超声波需要穿过厚厚的脂肪或含气的肺组织,导致图像模糊,犹如隔着一层毛玻璃拍摄。
“目标”太隐蔽:心脏后部的一些精细结构,如左心耳、心脏瓣膜上的微小赘生物(如感染性心内膜炎产生的“菌斑”)、人工瓣膜的状态以及心腔内血栓等,从外部探测往往难以看清正面细节,就像从人群背后看站在前面的人,难以辨识其面容。
此时,经食道超声便展现出其独特价值——它采用一种“迂回战术”,直达心脏后方。
二、什么是经食道超声?
其操作形式与胃镜相似,但前端并非摄像头,而是一个微型超声探头。
原理并不复杂:食道紧贴于心脏后方,两者之间仅隔一层薄薄的管壁。将超声探头经食道送至心脏后侧,就相当于把“摄像机”直接放置在心脏的“后窗”外,实现近距离、无遮挡的观察。
这种“内部视角”带来显著优势:
图像清晰:分辨率远高于普通超声,可显示毫米级的细微病变。
不受干扰:避开了胸壁和肺气的干扰,图像质量大幅提升。
视角全面:对左心耳、瓣膜背面等常规超声的“盲区”也能一览无余。
三、什么情况下需要做这个检查?
经食道超声是诊断多种心脏疾病的“金标准”,尤其在以下场景中不可或缺:
追踪“隐形”栓子与肿瘤:
尤其是左心耳及左心房内的血栓或粘液瘤。当患者出现不明原因的脑卒中(中风)时,若怀疑是心源性血栓脱落所致,经食道超声是检测左心耳(血栓最易形成的部位)是否存在血栓的较可靠方法。这对心房颤动患者尤为重要。
揪出心脏“感染”:
当细菌进入血液,常附着在心脏瓣膜上形成类似“菜花样”的赘生物。这些赘生物一旦脱落可能引发致命栓塞。经食道超声能清晰显示这些微小结构,明确感染性心内膜炎的诊断。
评估“心门”状态:
用于评估心脏瓣膜的关闭不全、狭窄、脱垂等病变。对于已植入人工心脏瓣膜的患者,它也是定期评估瓣膜功能、检测血栓或感染的优质工具。
心脏手术的“导航员”与“质检师”
术前:为心脏手术(如瓣膜修复、先心病矫治)提供精确的“地图”。
术中:在手术室内实时引导操作,帮助医生优化方案。
术后:在关胸前立即验证手术效果,犹如一次精准的“工程验收”。
探查心脏“漏洞”:对于某些位置特殊的先天性心脏病,如卵圆孔未闭、房间隔缺损、室间隔缺损等,经食道超声能提供更准确的诊断,并引导介入封堵治疗。
诊断主动脉疾病:如主动脉瘤、主动脉夹层、主动脉窦瘤破裂等。

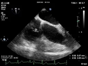
经食道超声三尖瓣隔瓣
赘生物

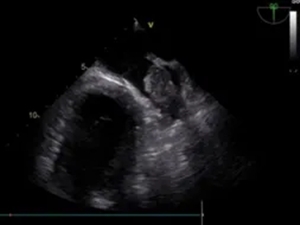
经食道超声左心耳
血栓

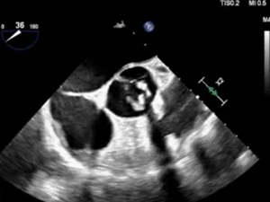
经食道超声主动脉瓣
二瓣畸形

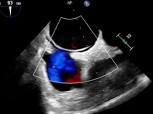
经食道超声
卵圆孔未闭
四、检查过程是怎样的?
会不会很难受?
这是大家最关心的问题。请放心,整个过程充分考虑了患者的舒适与安全。
准备阶段:
检查前需禁食禁水6-8小时,确保胃部排空。通常会服用局部麻醉药,以减轻咽喉部不适。
检查过程:
您将侧卧于检查床,连接好心电监护。
医生会请您张口放置牙垫(防止误咬探头),随后将探头经口腔轻柔送入食道。
探头经过咽喉时可能有短暂恶心感,一旦通过便会明显减轻。请尽量放松,听从医生指导,配合吞咽动作,用鼻平稳呼吸。
整个扫描过程约10-20分钟,医生会通过转动探头,从多个角度全面观察心脏。
检查后注意事项:
由于麻醉作用,检查后需继续禁食禁水约2小时,待吞咽功能完全恢复后再饮水进食,以防呛咳或误吸。
若使用了镇静药物,当天请勿驾车或从事精细操作。
五、它安全吗?
经食道超声是一项非常成熟的技术,严重并发症极为罕见。可能出现的轻微反应包括咽喉部短暂不适或疼痛,以及一过性的血压或心率波动。由操作导致食道损伤的概率极低(<0.01%)。
经食道超声心动图,是一项安全、高效、不可替代的心脏影像技术。它虽在表面舒适度上有所让步,却为医生换来了洞察心脏内部奥秘的“火眼金睛”,为众多患者赢得了精准诊断与治疗良机。
来源:超声诊断科 周英
党委宣传统战部编辑整理