
▲ 肝胆胰腺外科主任李晓勇
60多岁的宋先生是一个农民,平时身体健康,自己种着20多亩地,农闲时做点生意,虽然不是大富大贵,但衣食无忧,手有余钱,日子过得很充实,也很幸福。可是幸福美满的生活在两个月前被突如其来的疾病蒙上了阴影。
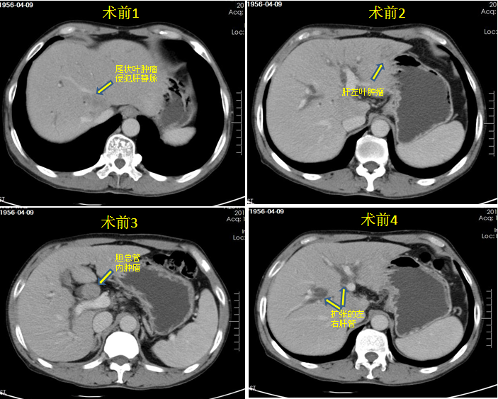
两个月前,宋先生无意中发现自己的尿液比以往颜色深,自以为是喝水少、上了火,而且身体没有别的不舒服,所以根本没往心里去。可是随着时间延长,尿的颜色越来越重,周围的邻居说他的皮肤也黄了,他这才告诉了子女。孝顺的子女带着他来到县人民医院,县医院的大夫让他查了一下肝功能,并做了彩超及腹部CT检查,结果发现肝功能明显不正常,胆红素及转氨酶明显升高,彩超及CT检查发现肝脏里面有多个肿瘤,胆管内也有一个大肿瘤,这个肿瘤堵塞了胆管,所以宋先生才会出现上述这些症状。县医院的大夫说治不了他的病,建议他到省里来看

在儿子的带领下,宋先生来到省内某三甲医院并找到河南省肝胆外科知名专家,也是省内肝胆外科专业的权威。这位权威专家在仔细阅读了宋先生的CT片后,告诉宋先生的儿子宋先生为胆管癌晚期,无法手术切除,最多做一个经皮肝穿刺胆管外引流(PTCD),减轻黄疸,改善一下生活质量,并告知他患者还有三个月的生存期。这样的诊断无疑让宋先生一家陷入绝境,突如其来的打击让全家人感觉天仿佛塌下来一般,全家人无不以泪洗面。
求生的欲望让患者及其家属没有停下求医的步伐,经多方打听,最后在学医的亲戚推荐下,宋先生一家带着一丝希望来到郑州大学五附院,找到了省内著名肝胆外科专家李晓勇教授。李晓勇教授及陈艳军副主任医师反复认真阅读CT片并组织科内医师讨论,发现宋先生的病情有一些特点,肝内多发肿瘤,较大的肿瘤在尾状叶,也是肝脏的中心部位,该处肿瘤已侵犯周围重要的大血管,其余较小的肿瘤局限在肝左外叶,胆管内肿瘤体积较大,但似乎与尾状叶肿瘤连在一起。经过充分讨论,李教授他们认为宋先生的病按照传统的手术方式已无法行根治性切除,但采取多种措施联合治疗还有根治的可能,在详细告知病情及手术方案后,宋先生一家看到了希望,毫不犹豫的接受了李教授的建议。



经过术前积极的准备,手术如期进行。手术由李晓勇教授、陈艳军副主任医师、郜宇主治医师组成的团队共同实施,由胡强夫主任的麻醉团队保障手术安全,杨楠护士长的护理团队通力配合,输血科魏明主任保障手术用血,术中证实肿瘤原发部位在肝尾状叶,肝左叶多个转移灶,胆管内为自尾状叶延续至胆管的癌栓,手术中多种技术手段综合应用,肝脏中心位置的尾状叶肿瘤因侵犯重要血管无法根治性切除,术中在超声引导下避开下腔静脉精准布针,实施目前国际上先进的肿瘤微创技术——纳米刀消融治疗,肝左叶肿瘤实施规则性切除,胆管内癌栓实施根治性切除、胆管空肠吻合,术后在宋伟华护士长的护理团队精心护理下,患者恢复非常顺利,2日后下地行走,3日后进食,术后9天顺利出院。50天后患者来院复查,体重增加了6公斤,各项化验指标都在正常范围,复查CT发现尾状叶肿瘤彻底坏死,完全失去活性。朱先生及其家人感激的说,是李晓勇教授给了患者第二次生命,让他们的家重新充满欢声笑语,感谢纳米刀技术让患者获得新生。

来源:肝胆胰腺外科 陈艳军
宣传科编辑整理