胃肠·甲状腺外科2024年度
·十大疑难病例分享·
前言
2024年,胃肠·甲状腺外科团队在收治2000余名患者、完成1000余台手术的基础上,继续坚持高标准和“以患者为中心”的治疗理念,精益求精地推进常见病的诊疗,同时也深入攻克疑难病例。科室积极探索创新疗法,在多个复杂病例中取得了显著进展。
为了进一步提升专业诊疗水平,科室成立了腹部疑难外科专病门诊,通过多学科协作,为患者提供更加精准、系统的治疗方案。这些举措不仅显著提高了科室整体诊疗能力,也为今后的医学研究和临床实践积累了宝贵经验。
这些病例的总结,不仅展示了科室团队在面对复杂疾病挑战时的智慧与决心,更体现了科室始终以患者为中心,急患者之所急,解患者之所困的理念。通过对这些病例的深入分析,不仅为患者提供了切实有效的治疗方案,帮助他们度过了危难时刻,也为今后的类似情况提供了宝贵的临床经验。每一个病例的突破和成功,都为患者的健康带来了希望,为科室的治疗水平和技术创新注入了新的动力。
接下来,我们回顾今年诊治过程中遇到的十大疑难病例。
01复发性直肠癌侵犯空肠,精准手术力挽狂澜

患者,男,65岁,1年多前因直肠癌在外院接受了手术治疗。术后3个月,患者出现了不全性肠梗阻,经介入治疗后成功置入肠道支架,腹胀症状有所缓解。但患者仍间歇性出现腹痛不适,症状未能完全消失。入院后,肠镜检查发现直乙吻合口处出现肿物,支架移位,提示肿瘤复发。术中进一步探查显示,肿瘤不仅在直肠肿瘤复发,还已侵犯到空肠。面对这一挑战,手术团队决定采用腹腔镜技术进行精确手术,成功切除了复发肿瘤,同时对侵犯小肠进行切除,并在术后进行了盆底补片修补重建术。手术顺利完成,患者术后恢复良好,腹部症状明显减轻。
难点总结:该病例的关键难点在于肿瘤的复发且侵犯空肠,通过腹腔镜操作,团队成功完成了肿瘤的根治性切除,并通过盆底重建术预防了术后肠梗阻的发生,效果显著。
推荐理由:该病例展示了复杂肿瘤复发及多器官受累情况下的精准手术方案。通过腹腔镜技术的巧妙应用,手术团队不仅成功完成了肿瘤的根治性切除,还有效预防了术后并发症的发生。
02高龄胃癌,复杂病例中的手术选择

患者,男性,85岁,因“腹胀、食欲不振”就诊。胃镜检查提示贲门部占位,病理诊断为贲门腺癌。患者既往有心率失常、房颤史,并接受过经皮冠状动脉介入治疗(PCI)及起搏器植入手术。由于年龄较大且存在多重基础疾病,术前评估和围手术期管理面临巨大挑战。入院后,团队制定了详细的术前准备方案,并在全体专家的协作下,顺利完成了近端胃癌根治术及双通道吻合术。手术过程中,密切监测患者心功能,确保手术安全。术后患者恢复良好,腹部症状得到明显缓解。
难点总结:该病例的难点在于患者年龄高、基础病多,尤其是心律失常及心功能不全,增加了手术的风险。如何在保证手术效果的同时,精细管理围手术期的心脏功能,成为术前决策和术中操作的核心挑战。
推荐理由:该病例不仅成功解决了高龄患者的多重基础疾病挑战,还通过双通道吻合术有效预防了术后反流并发症的发生。术前全面评估和术中细致操作确保了手术效果,术后患者恢复良好,为类似病例提供了重要的治疗经验,尤其是在高风险患者中,能够有效改善术后生活质量,降低并发症风险。
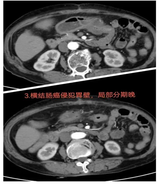
03结肠癌侵犯胃壁:迎难而上的手术抉择

患者4个月前因横结肠恶性肿瘤在外院接受手术治疗,但由于手术困难,原定手术被中止,仅行近端结肠造口术。随后,患者转入郑州大学五附院接受进一步治疗。经过多学科会诊及充分的术前准备,科室决定迎难而上,尝试再次进行手术切除。通过反复阅片和科内讨论,最终制定了详细的手术方案。术中探查发现,横结肠癌已侵犯胃壁,进一步增加了手术难度。最终,患者成功接受了经腹腔镜下横结肠癌根治术,并对受侵胃壁进行部分切除,同时进行了结肠造口还纳术。术后恢复良好。
难点总结:本病例的难点主要在于肿瘤侵犯了胃壁,导致手术范围和操作难度大大增加。虽然患者此前手术中止,但通过多学科评估和详细的术前准备,手术团队成功克服了这些挑战。
推荐理由:该病例展示了面对复杂肿瘤侵犯和手术难度增加的情况下,团队通过多学科协作和充分术前准备,成功完成了高难度手术。特别是在肿瘤侵犯胃壁的情况下,手术方案的精确制定和腹腔镜技术的应用确保了肿瘤的根治性切除,并有效进行了结肠造口还纳术。术后患者恢复顺利,腹部症状明显减轻,体现了精准治疗和细致术前评估的重要性,为类似病例提供了宝贵经验。
04ERCP术后十二指肠穿孔:突发并发症的应急处理与成功救治

患者因梗阻性黄疸在当地医院接受了ERCP治疗,并进行了胆管塑料支架置入术。然而,术后患者的腹痛加剧,伴随明显的循环不稳定,并且出现了感染性休克。通过CT检查,发现十二指肠后壁不连续,右肾周脂肪囊有多发积气及渗出,诊断为ERCP术后十二指肠穿孔,并伴随严重的腹腔及腹膜后感染。面对紧急情况,患者被紧急转入郑大五附院,并立即进行了“胆囊造口、空肠营养管置入并十二指肠周围多处负压管引流”手术。术后,患者腹腔感染逐步控制,病情逐渐稳定,最终顺利好转出院。
难点总结:本病例的最大难点在于ERCP术后发生了严重的十二指肠穿孔,并迅速引发腹腔及腹膜后广泛感染,既往病例死亡率极高。由于患者出现了感染性休克,手术时必须快速有效控制感染,并及时进行腹腔引流。
推荐理由:在于术中及时的应急处理,主动引流,有效缓解了患者的病情,避免了进一步恶化。此病例强调了面对ERCP术后并发症时,迅速诊断并采取积极应对措施对抢救患者至关重要。
05复杂复发盆腔肿瘤切除:术中精确操作与风险控制

患者为一名盆腔恶性肿瘤术后2年的患者,近期复查发现肿瘤复发。入院前,院外检查提示盆腔右侧软组织肿块。入院后进一步完善增强CT检查,考虑为平滑肌肉瘤复发,并伴有右侧输尿管下段受累,导致右侧肾盂及输尿管全段扩张积水。术中探查发现肿瘤直径约16cm,形态不规则,部分小肠受累,肿瘤与盆腔组织粘连严重。手术团队在确保不损伤输尿管的前提下,成功完成了肿瘤及受侵小肠的完整切除。
难点总结:本病例的难点在于肿瘤的巨大尺寸及其与盆腔器官的粘连,特别是肿瘤侵犯小肠并且压迫右侧输尿管,导致肾盂积水。手术过程中,如何避免损伤重要器官(如输尿管及小肠)是关键。
推荐理由:在于通过细致的术前评估和术中精确操作,术前留置输尿管支架管,术中仔细操作,成功完成了肿瘤的完整切除,并有效保护了周围组织的功能。此病例展示了肿瘤复发后的手术复杂性以及如何应对大肿瘤的挑战。
06双侧甲状腺结节与颈部多发转移:小结节、大挑战

患者因发现锁骨上窝及颈部包块入院,门诊彩超提示双侧甲状腺占位。入院后,通过甲状腺结节及颈部淋巴结穿刺活检,病理结果显示为甲状腺恶性肿瘤,并且双侧淋巴结存在癌转移。尽管甲状腺结节的大小较小(左侧结节为0.8×0.7×0.6cm,右侧为0.5×0.5×0.4cm),但由于淋巴结的多发转移,患者的病情较为复杂。最终决定进行“双侧甲状腺全部切除并颈双侧侧方淋巴结清扫”手术。术中,成功清除了甲状腺及双侧Ⅱ~Ⅵ区淋巴结,病理结果显示,病理报告回示左侧甲状腺乳头状癌(经典型,结节大小0.8*0.7*0.6cm,小灶钙化,侵及被摸),右侧甲状腺乳头状癌(经典型,结节大小0.5*0.5*0.4,小灶钙化,侵及被膜),左Ⅵ区4/9,右侧Ⅵ区0/6,左侧Ⅱ-Ⅴ区,1/18;右侧Ⅱ-Ⅴ区12/45,共清扫出淋巴结72枚。
难点总结:本病例的难点在于虽然甲状腺结节不大,但颈部存在广泛的淋巴结转移,涉及多个区域。手术不仅需要去除原发肿瘤,还要清扫大量的淋巴结,确保不会遗漏转移病灶。
推荐理由:通过术前充分评估和术中精细操作,成功完成了甲状腺及淋巴结的完整清扫,尽可能地减少了复发的风险。甲状腺癌,尤其是乳头状癌,虽然其结节通常较小,但转移至淋巴结的风险较高,早期发现和全面清扫是提高治愈率的关键。
07内镜、介入保守治疗无效的十二指肠溃疡出血:手术治疗的紧急干预

72岁男性患者,因糖尿病并发症入院,合并高血压和肾功能衰竭。入院后,患者出现多次排黑便,且量较大,血红蛋白一度下降至51g/L。尽管输血后血红蛋白有所回升,但效果不明显,且患者的贫血未能得到有效改善。内镜检查发现十二指肠球后直径1.2cm的溃疡并有持续出血。尽管进行了内镜下止血治疗,并给予药物促进溃疡愈合,效果依然不佳,患者的血红蛋白继续下降。随后,进行急诊介入治疗,实施胃十二指肠动脉栓塞术,但5天后,患者再次出现出血性休克。在我科会诊后,急诊进行“十二指肠溃疡并远端胃切除+R-Y吻合术”。术后,患者血红蛋白逐渐稳定,生命体征逐步好转,最终顺利恢复。
难点总结:本病例的难点在于十二指肠溃疡反复出血且内镜及介入治疗均未能有效控制病情。患者合并糖尿病、肾功能衰竭等多种基础疾病,进一步加大了手术风险。在此情况下,及时进行外科手术干预至关重要。
推荐理由:通过及时的手术治疗,术中胃腔明确出血部分后行溃疡切除,成功止血,体现了外科手术在紧急情况下的关键作用。
08结肠坏死结肠瘘、胰瘘合并腹腔大出血:紧急腹腔探查与多脏器支持

37岁男性患者在省外发生车祸,导致腹部大出血,并在当地急诊进行手术治疗。术后2周,患者切口愈合不良,伴随严重腹腔感染,疑似结肠瘘与胰瘘。因病情危重,患者转入郑大五附院继续治疗。入院时,患者腹腔大出血,血红蛋白下降至37g/L,生命体征极为不稳。经过多学科会诊和紧急评估,决定急诊进行腹腔探查,术中发现结肠肝区坏死,并伴有大量凝血块形成。最终决定进行结肠瘘切除及腹腔负压冲洗引流术。术后,患者的腹腔感染得到有效控制,血红蛋白逐渐恢复正常,感染明显好转。
难点总结:本病例的难点在于患者复杂的伤情与术后并发症,尤其是结肠坏死、结肠瘘、胰瘘和腹腔大出血的多重危机。患者病情严重,急诊手术中的决策需要迅速而精确,尤其是如何平衡多个问题的治疗。
推荐理由:通过及时的腹腔探查、结肠瘘切除及腹腔引流术,成功控制了出血并稳定了患者病情。该病例展示了在多脏器损伤和严重感染情况下,如何通过快速反应和精准手术进行有效干预,挽救了患者生命。
09结肠癌术后腹壁肠瘘与肠道功能障碍:微创手术与多学科协作的成功治疗

患者5年前因结肠癌接受手术治疗后,发生腹壁肠瘘,且病情逐渐恶化,伴有腹腔感染、持续腹痛及肠道功能障碍。尽管患者多次就诊于各大医院,症状反复且生活质量严重下降,甚至因小肠造口引发大出血,导致3次休克并住进ICU,病情危急。在详细评估后,患者选择郑大五附院继续治疗。科室组织了来自北上广深等多地专家共同会诊,制定了详尽的术前和术中方案。考虑到患者的特殊病情,治疗团队决定采取微创手术,通过精细操作切除肠瘘段,并在肠梗阻导管的辅助下实施肠还纳术。术后,患者的腹腔感染显著好转,腹痛明显缓解,肠道功能逐步恢复,生活质量大幅提升。
难点总结:本病例的难点在于患者术后腹壁肠瘘并发多种严重症状,包括持续腹痛、肠道功能障碍和反复出血。患者的病情复杂且反复,且多次休克并入住ICU,治疗难度大。
推荐理由:在于通过多学科团队的协作,结合微创手术方案,成功切除肠瘘段并恢复肠道功能,有效改善了患者的生活质量。此次手术不仅解决了患者长期困扰的腹壁肠瘘问题,也为我院在微创外科治疗肠瘘领域取得了突破性进展,展现了现代医学中多学科协作和微创手术的巨大潜力。
10直肠吻合口瘘致坏死性筋膜炎:急诊手术干预与脓毒症休克的成功管理

一位老年女性患者因“突发胸闷6小时”入住郑大五附院心血管内科,在进行血管扩张和改善循环治疗后,胸闷症状未得到有效缓解,同时感染性指标显著升高。患者自诉肛周疼痛不适,急诊会诊后,检查发现一侧臀部明显波动感,另一侧臀部触诊有“握雪感”,考虑为肛周脓肿合并坏死性筋膜炎。CT检查显示直肠周围结构紊乱,盆腔内、双侧臀部、会阴部及下腹部软组织内多发积气,进一步证实了肛周严重感染合并坏死性筋膜炎,且感染正在迅速蔓延,伴有呼吸困难和血压不稳定,疑似脓毒症休克。根据患者的紧急病情,晚间及时进行急诊手术。术中发现直肠吻合口瘘引发的肛周、会阴部及下腹壁多部位软组织感染。通过广泛切开引流成功控制了感染源,缓解了脓毒症休克,术后患者病情平稳出院。
难点总结:本病例的难点在于直肠吻合口瘘引发的严重感染,导致坏死性筋膜炎及脓毒症休克的发生。由于感染蔓延迅速,且患者存在多脏器功能障碍,急诊手术的时机至关重要。
推荐理由:在于通过及时且精准的手术干预,成功控制了感染源,并迅速改善了脓毒症休克,避免了患者的病情恶化。此次病例展示了直肠吻合口瘘引发的并发症及其快速蔓延的危险性,也凸显了急诊手术和多学科协作在抢救生命中的重要作用。
2025年,胃肠·甲状腺外科将继续提升技术水平,加强多学科协作,推动医学创新,以更高的标准为患者提供精准、高效的医疗服务。感谢过去一年所有同仁的辛勤付出,感谢患者的信任与支持。新的一年,我们将继续携手前行,共同迎接更多挑战,为更多患者带来健康与希望。
来源:胃肠·甲状腺外科 杨战锋 罗昭锋
党委宣传统战部编辑整理