“康主任,我父亲醒了,真是太感谢您了,您是我全家的大恩人啊!”张大爷的儿子激动地握着泌尿外科主任康郑军的手,此时已是满眼泪花……
故事的主角张大爷是一位95岁高龄的膀胱癌患者,发生尿痛、肉眼血尿1年多,心肺功能也比较差。家属带着他辗转省内多家大医院得到的都是“已经不能手术治疗了,建议保守治疗。”虽经过一系列的放射治疗后,血尿症状没有丝毫缓解,家属心情焦急万分,经多方打听,于近日来到了郑州大学五附院泌尿外科治疗。
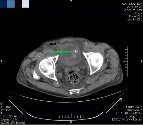
经仔细检查,张大爷身体里的肿瘤体积较大(约5×6cm),但是肿瘤有“根”,“根部”较细且正常的黏膜还比较多,这无形中增加了患者的希望。但患者毕竟已经95岁高龄了,右心明显扩大,三尖瓣重度关闭不全,二尖瓣前瓣脱垂并反流,心房纤颤,III度房室传导阻滞,持续性右束支阻滞肺通气换气功能差,憋气时间只有14秒(正常为25秒),这些指标无意给手术的进行带来巨大的困难。
得知结果后,张大爷的家属情绪沮丧,意志消沉。之前已经在多家医院碰壁,他们恳请的康郑军主任能够为老爷子的生命放手一搏。医者仁心,康郑军主任组织多次科内会诊,仔细研究CT检查报告,凭借自己20余年的临床经验及高超技术,最终果断决定手术治疗。康郑军主任邀请麻醉科胡强夫主任及其团队为手术保驾护航,胡强夫主任对此高度重视,前后多次来到病房,仔细评估患者身体条件,详细了解患者病史,为患者量身定制了一套麻醉方案。尽管两者强强联合,但是手术风险依然很大,对此家属只抱有20%的希望患者术后能活着出手术室。


箭头所指为膀胱肿瘤
手术如期进行,康郑军主任亲自主刀,考虑的张大爷的身体综合素质较差,麻醉风险太大,手术必须争分夺秒。康郑军主任迅速经尿道进入电切镜,快速定位肿瘤位置,并检查整个膀胱内壁,整个过程行云流水、一气呵成。在确定只有一个瘤体后,康郑军主任开始一点点切肿瘤的“根”了,凭借过硬的技术水平和丰富的经验,只用了10分钟就把瘤子切得干干净净,争取了宝贵的时间,大大降低的手术的风险。术后,张大爷生命体征平稳,各项指标均在预测范围之内,并在泌尿外科护理团队的精心护理下恢复良好。

患者术后恢复良好,家属送来匾额以示感谢
(泌尿外科康郑军主任、何笑凯、何江及麻醉科丁朋飞)
能够如此顺利的完成手术,得益于主刀医生的高超技术;得益于麻醉科团队的鼎力协助;得益于家属对医生的绝对信任和积极配合。在这种配合下,医生得以全力以赴、勇于挑战,不仅感动了患者家属,那20%的希望也变为了100%。
来源:泌尿外科 张英豪
宣传科编辑整理