张女士绝经10余年,体重220斤,某日突然出现少量阴道流血,警惕性非常高的张女士赶紧来到郑州大学五附院妇产科就诊。专家第一时间为其进行彩超检查,超声提示张女士子宫内膜增厚至7mm,随后行宫腔镜检查并分段诊刮,诊断为高分化子宫内膜样腺癌,立即收入病房,行腹腔镜下筋膜外全子宫+双附件切除术,手术过程顺利,术后结合病理提示,最终明确诊断为高分化子宫内膜样腺癌早期(Ⅰa期),无复发高危因素,术后无需补充放化疗,定期复查即可。


从这一病例来看,张女士无疑是幸运的,尽管被冠以癌的头衔,但发现及时,仅手术就够了,恶性肿瘤贵在早期发现。如今每每想起张女士还是会后怕,要不是自己多留了个心眼,若是等到子宫内膜癌进展到了晚期,甚至是子宫壁被穿透才发现,再治疗则为时已晚。
子宫内膜癌是发生于子宫内膜的一组上皮性恶性肿瘤,好发于围绝经期和绝经后女性,是最常见的女性生殖系统肿瘤之一,每年有接近20万的新发病例,其发病与生活方式密切相关。在我国,子宫内膜癌的发病率亦逐年升高,目前仅次于宫颈癌,居女性生殖系统恶性肿瘤的第二位。

子宫内膜癌的主要症状
1.子宫不规则出血
不同于正常月经的出血称为异常子宫出血,是子宫内膜癌的首发症状,由于50%-70%患者发病于绝经之后,故绝经后出血,也被称为血性杀手,即使是很少量出血或偶尔发生的出血,也需警惕。但对于育龄期或围绝经期女性,这种异常出血常被误认为月经来潮,而被忽视。因此,只要是与月经不同的出血均应引起重视。
2.阴道排液
是子宫内膜癌表面有渗出或继发感染的结果,可表现为血性液体或浆液性分泌物,可有恶臭,但恶臭程度不如宫颈癌显著。阴道异常排液可与不规则阴道出血伴发,疼痛并不多见。
3.下腹疼痛
若癌肿累及宫颈内口,可引起宫腔积脓,出现下腹胀痛及痉挛样疼痛。
以上典型症状都是子宫内膜癌发出的“警报”,决不能听之任之,不加干预。

宫腔镜下正常子宫内膜

宫腔镜下早期子宫内膜癌

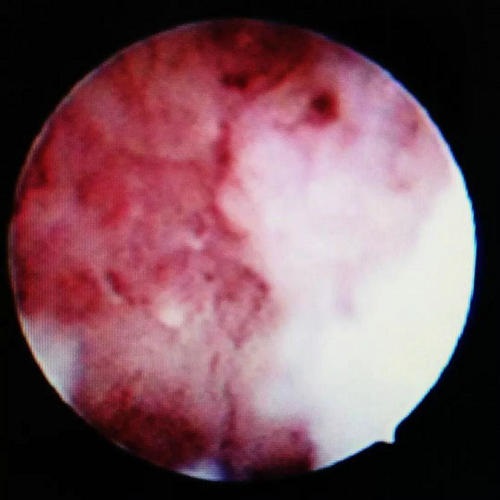
宫腔镜下晚期子宫内膜癌
如何发现早期子宫内膜癌
1.重视高危人群
子宫内膜癌的高危人群有以下几种:月经稀发、初潮早绝经晚、肥胖、糖尿病、高血压、多囊卵巢综合征、激素替代治疗或长期应用雌激素等,这些人群由于缺乏孕激素的保护,长期雌激素的刺激,使得子宫内膜增生进而癌变。


2.定期行彩超检查
绝经后的女性,建议定期进行彩超检查,若子宫内膜厚度≥4mm;应行宫腔镜检查+定点活检,了解子宫内膜的性质。尽管80%的绝经后阴道出血并不是癌,但一定要通过专科检查,排除癌的存在,发现越早,治疗效果越好。


临床上,不少患者因注重体检使疾病在早期就得到了明确诊断,但也有很多患者认为自己即将绝经,月经不规律是自然现象无需就医,从而导致诊断延误、酿成大祸。因此广大女性朋友应重视自身健康,切不可自我诊断,要主动到医院进行排癌筛查。只有时刻保持警惕,才能乐享玫瑰人生!