精准放疗治疗鼻窦癌:医术在左仁心在右
导读:病房里见到张大哥,他恰巧正与临床的患者聊天,爽朗的笑声、幽默风趣的谈吐,丝毫看不出他刚与“肿瘤君”进行了一场生死搏斗。
终于找到你,还好没放弃
2017年的7月份,张大哥被检查出鼻窦囊肿,原以为只是普通的肿块,怎料,短短一个多月,肿块就将右眼球挤出了眼眶,右眼下方的白眼球变得异常明显,眼睛酸痛肿胀、流泪,由于眼球严重外突,两个眼睛的视距无法统一,导致张大哥不能继续开车。事实上,比起给自己生活上造成的不便,张大哥更怕的是别人用异样的眼光看待自己。辗转多家医院就诊,CT提示:张大哥的右侧鼻腔及筛窦占位,病变突破眼眶外侧壁向外生长,右侧眼眶内直肌受侵,病变最大直径4.5公分,考虑鼻腔鼻窦恶性肿瘤局部晚期。在张大哥看来,这份检查结果无疑是给自己判了死刑,考虑到要保留面部器官的完整性,因此无法手术,只能采用放化疗治疗。

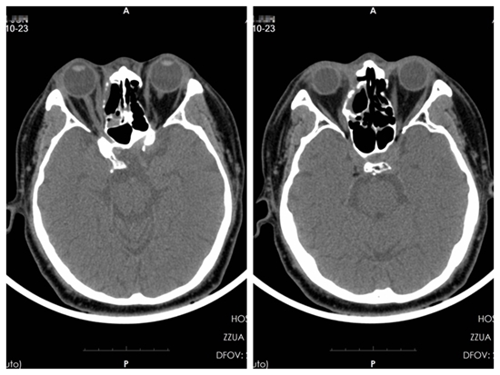
患者放疗前CT图
经多方打听,张大哥来到了郑大五附院放疗科,鼻窦癌局部晚期,这在别的医生眼中几乎是个不治之症,然而,在这里却能得到不错的治疗,这让张大哥有种绝处逢生的感动与期待。
医术在左,仁心在右
病灶活检报告提示:张大哥的鼻腔鼻窦肿瘤倾向于低分化鳞癌,是一种恶性程度高,发展速度快,预后差的肿瘤。因此,制定出精准的放疗方案并实施显得刻不容缓,而鼻腔鼻窦肿块与右眼关系密切,且突破眼眶外侧壁向外生长,右眼内直肌受侵,并紧邻视神经,放疗难度之大可想而知。如何在保护右眼视力的前提下实施精准放疗成了该方案中的一大难题。
俗话说:兵来将挡,水来土掩。为了啃下这块硬骨头,郑大五附院放疗科王晓瑜主任带领诊疗组成员就方案中的靶区勾画、照射剂量等问题一次次展开讨论,而主治医生任振泰、么志军除了要根据讨论结果进行靶区勾画,更多的是对张大哥心理上的疏导,与他建立起信任,使其减少对放疗的恐惧,卸下忧虑,全力配合治疗。

任振泰主治医师细心查看患者病例
“患者不是冰冷侍修的机器,而是一个个对生活充满渴望的鲜活生命,肿瘤就像横跨于他们生活中的一座大山,这个时候要多一些人文关怀,帮助他们正确认识肿瘤,树立信心,敢于面对,争取早日打赢这场攻坚战。”任振泰医师笑着说道,言语中满是温情。

放疗物理师王建坡制定治疗计划

放疗技师刘尧栋为患者治疗
精准放疗带来可喜改变
在郑大五附院放疗科精准无处不在,大到肿瘤靶区的勾画、放疗计划的制定、每次放疗时的摆位,小到对放疗不良反应的临床处理,正是治疗团队这种事无巨细、精益求精的服务态度,让张大哥仅在10次放疗后,右眼就大有改观。张大哥右眼逐康复的消息不胫而走,这引来了周围患者的围观,张大哥耐心向大家解释:“刚住院时我的右眼外突的吓人,十次放疗后,就成了你们现在看到的样子,眼睛的酸痛肿胀也明显减轻了,不愧是精准放疗啊,连我自己都没想到效果竟会这么好。”

患者放疗中CT图
“来探望的朋友看到他放疗后的变化都很惊讶,都夸这儿的医术水平高,疗效好。”张大哥的妻子说着脸上露出了久违的笑容。
如今,张大哥已经接受了27次放疗,2次化疗,右侧鼻腔鼻窦的肿瘤已经完全消失,右眼外观与常人无异,右眼视力无明显下降。“医生说我马上就能出院了,能开车了,也能跟朋友一起吃饭、唠嗑了,这搁以前,我真是想都不敢想吶!”张大哥笑着说道。

患者放疗后CT图
看得见的是张大哥病情好转的改变,看不见的是郑大五附院放疗科王晓瑜主任团队背后所付出的艰辛努力,王晓瑜主任的念念不忘,任振泰、么志军医师的真诚关怀,物理师及技师的兢兢业业、一丝不苟,护理团队们的热情周到,让郑大五附院放疗科的医术精湛、医德高尚、医风淳朴因一位位肿瘤患者的康复而声名远播。