2019年8月1日至3日,第五届全国肝胆胰外科高峰论坛、第一届第二次国际肝胆胰协会中国分会胆道结石专业委员会学术年会、国家远程会诊及互联网中心肝胆外科专家委员会湖南分会学术会议、2019年湖南省普外腹腔镜技术联盟学术年会、第五届腹腔镜肝胆专科护理学习班、胆道结石微创治疗学习班在湖南长沙隆重举办。

大会以“规范、创新、共享、发展”为宗旨,传统与微创相融合,邀请了来自全国两百多位全国肝胆胰专家、外科同仁同场论道。受邀嘉宾有陈孝平院士、樊嘉院士、郑树国教授等在肝胆胰腺外科领域的知名专家。大会就复杂肝胆胰外科疾病诊疗、微创技术在肝胆胰外科的应用规范及肝胆胰外科加速康复外科实施的策略等一系列肝胆胰外科领域的热点及难点展开讨论。与会期间,参会嘉宾多方位、近距离地领略肝胆胰外科领航人的风采,并与有志同道共同交流进步,学术氛围浓郁。
著名肝胆胰外科专家、郑州大学五附院李晓勇教授受邀出席大会,并在大会上作了关于纳米刀消融治疗肝门部胆管癌、胰腺癌方面的主旨报告,受到了与会专家们的一致认可和好评。



▲ 李晓勇教授受邀出席大会并在大会上作了关于纳米刀消融治疗肝门部胆管癌、胰腺癌方面的主旨报告
目前我国肝、胆、胰腺恶性肿瘤发病率呈上升趋势,且上述肿瘤容易出现广泛性转移,死亡率非常高,来院就诊时大部分病人已失去根治性手术最佳机会,临床上对肝、胆、胰腺肿瘤的治疗难度极大。
众所周知,胰腺癌是一种恶性程度极高的癌症,发病隐匿、进展速度快、治疗难度大、预后较差,以上的种种特点导致一旦确诊为胰腺癌,患者的5年生存率不到6%,基本意味着拿到了一张延期执行的“死亡判决书”。因此,胰腺癌素来被称为“癌中之王”。
根治性切除治疗是目前治疗胰腺癌最有效的方法。然而不幸的是,仅15%的胰腺癌病人符合手术切除的指征,85%的病人是没有手术机会的。在无法手术的患者中,一半以上的病人已进入晚期,癌细胞广泛转移。还有一半处于局部晚期,尽管失去了手术的机会,但是癌细胞尚未广泛转移,对于这些病人,纳米刀成了他们的新希望。
李晓勇教授团队率先在省内开展纳米刀消融治疗,目前作为河南省率先引进该技术并开展例数具多的三甲医院,在治疗复杂肝胆胰腺恶性肿瘤方面,开创了河南省纳米刀治疗的先河,现已成功治疗近百例患者。

▲ 郑州大学五附院肝胆胰腺外科主任李晓勇教授
患者刘某,男,53岁,无明显诱因出现中上腹部疼痛、消瘦,伴乏力、纳差,遂至医院检查被确诊为“胰腺颈部恶性肿瘤”。这个检查结果犹如晴天霹雳般砸向他的脑海,使其一度陷入绝望的深渊,但当想到自己上有老下有小,作为家中顶梁柱的自己又不得不选择坚强,刘某开始辗转于省内外各大医院,却均被告知肿瘤包裹大血管,无法手术……
刘某通过互联网了解到郑州大学五附院肝胆胰腺外科引进了纳米刀新技术,科室李晓勇教授在难治性胰腺癌治疗方面经验丰富、技术精湛,其纳米刀消融治疗胰腺癌的很多成功案例被多家主流媒体报道过,抱着对生命的最后一丝希望,遂慕名前来就诊。
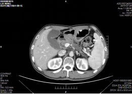
患者入院后李晓勇教授全面评估病情,结合患者病史及CT检查,患者为胰腺颈部恶性肿瘤(图1)。考虑到胰腺肿瘤位置复杂包裹大血管,并且已向周围组织浸润转移,无法行根治性手术切除。面对棘手问题,李晓勇教授积极组织全科会诊,共同探讨治疗方案,射频微波并发症凶险,放疗化疗不敏感,可考虑行一种全新的肿瘤消融治疗技术——纳米刀消融治疗。该技术通过释放高压电脉冲在肿瘤细胞膜上形成纳米级不可逆性穿孔,使细胞快速凋亡,既能达到肿瘤消融凋亡坏死的目的,同时又能保证手术的安全性。

▲ 图一 肿瘤侵犯肝总动脉、脾动脉 浸润脾静脉和门静脉
李晓勇教授亲自主刀,带领团队行“胰腺肿瘤纳米刀消融术”,依据电脑程序规划、设计布针路线,避开重要血管,精准植入肿瘤。2500伏高压脉冲瞬间击穿癌细胞膜。术中复查彩超确认肿瘤区域全覆盖,消融彻底。术后刘某恢复顺利,康复出院。

▲ 李晓勇教授在手术中(右2)
刘某术后来院复诊,1月复查CT肿瘤灭活(图2),3月复查CT肿瘤消除(图3),6月复查CT未见复发及转移(图4),1年复查CT部分胰腺组织萎缩、纤维化,肿瘤未见复发及转移(图5),2年复查CT(图6),病情稳定,未见肿瘤复发及转移。

▲ 图二

▲ 图三

▲ 图四

▲ 图五 术后1年CT 部分胰腺组织萎缩、纤维化,肿瘤无复发及转移

▲ 图六 术后2年CT 病情稳定,肿瘤无复发及转移
重获新生的刘某一扫往日的颓废和绝望,犹如脱胎换骨,焕然一新,见到李晓勇教授,紧紧的握着李教授的手说:“感谢李教授应用先进的纳米刀技术让我获得了二次生命,现在肿瘤消失了,肚子也不痛了,睡眠也好了,体重较之前也增加5公斤”。通过记录刘某肿瘤纳米刀消除的过程,见证了纳米刀给患者带来了生的奇迹,也燃起了解除胰腺癌患者痛苦的希望。
科普:纳米刀是一种全新的肿瘤消融治疗技术,该技术于2011年被美国食品和药物管理局批准应用于临床,主要针对局部进展期胰腺癌的患者;2015年被中国食品药品管理协会批准用于胰腺癌和肝癌的治疗;纳米刀的原理是通过释放高压低能直流电脉冲在肿瘤细胞膜上形成纳米级不可逆性穿孔,破坏了细胞内平衡,使细胞快速凋亡,进而,体内吞噬细胞将细胞碎片吞噬掉,治疗区域逐步被正常组织所取代。纳米刀消融治疗不同于传统的物理消融治疗,如射频消融、微波消融、冷冻消融、激光消融等消融方式,其利用高温加热或低温冷冻的方式,将肿瘤组织“烧死“或”冻死“。传统物理消融的优点是技术成熟,缺点是消融时容易损伤肿瘤周围的大血管、胆管、重要脏器组织等,容易造成术后出现胆瘘及腹腔大出血等严重并发症,而且热沉效应会使部分能量流失,病灶组织加热不彻底,造成肿瘤的消融不完全。而纳米刀消融技术不同于传统的消融技术的根本在于其不利用温度巨变造成细胞死亡,而是利用电极针之间的高压电脉冲击穿细胞膜,造成细胞的凋亡,达到消融的目的。而大血管、胆管、神经组织等结构主要为纤维结缔组织,缺乏细胞膜上的磷脂双分子层,所以纳米刀消融对于血管、胆管、神经组织等结构并不损害,减少了术后并发症,大大提高了其治疗的安全性。纳米刀应用范围在胰腺、肝以及其他实体器官肿瘤,尤其对靠近肝门区、胆囊胆管、胰腺的肿瘤具有独特优势:创伤小,安全性好,精确度高。纳米刀技术适用于以下几种情况:1.局部晚期胰头部恶性肿瘤;2.包裹腹腔干、肠系膜上血管的胰颈体部恶性肿瘤;3.不可切除肝门部胆管癌;4.侵犯肝门不可切除胆囊癌;5.切除困难的肝门区恶性肿瘤;6.高危部位的肝癌;7.高龄、不耐受及不接受创伤大的传统手术的患者。
近年来,随着经济的持续发展,居民的生活水平普遍提高以及临床检出率的提升,胰腺癌的发病率呈逐年上升的趋势。在发病初期,大多数的患者表现为上腹部不适、消化不良或腹泻等症状,容易与其他消化系统疾病相混淆。随着疾病的不断进展,当患者出现食欲减退、体重减轻时,往往已处于中晚期。胰腺癌固然可怕,但也可进行预防。对于近期发现糖尿病病人,胰管结石合并慢性胰腺炎患者,生活中长期抽烟、喝酒、摄入高脂食品的人群应高度重视,预防胰腺癌的发生,应定期进行彩超、CT检查,必要时增加肿瘤标记物的检测,如CA199、CEA等项目。
来源:肝胆胰腺外科
宣传科编辑整理