郑州大学第五附属医院

郑州大学第五附属医院
搜索按钮
进入适老模式
信息公开
医学科普
首页>信息公开>医学科普

牙齿上有黑线,就一定是蛀牙吗?

发布时间:2023/8/16文字调整

有朋友说,自从知道口腔健康重要性后,就开始重视起来,每天都好好刷牙,可不知道为什么,大牙上出现黑线,怎么也刷不干净,这是蛀牙吗?


这个,不好说啦。只能说,具体问题具体分析。


建议这位朋友还是先去牙科做个口腔检查,然后看看是蛀牙还是色素沉重。


如果是色素沉着还好办,往往是由于刷牙不彻底导致的。


已经形成的色素沉着自己是清除不掉的,需要通过洗牙来清除。


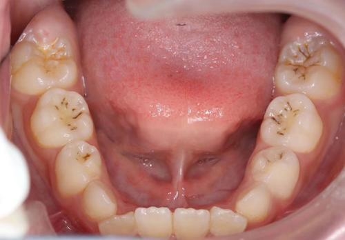
image001


至于蛀牙嘛,早期的大牙有蛀牙是没有明显的龋洞,大多在咬合面有黑色的勾线,也就是窝沟龋,就是蛀牙的表现。所以一旦发生这样的情况都需要注意啦!别等到蛀牙很严重了,才去补牙。到时候已为时已晚了!


image003


窝沟龋的发展主要有三个阶段

1.牙齿表面形成黑线,初步形成蛀牙,这个阶段是蛀牙早期。

2.牙本质腐蚀,龋坏进一步加深,形成龋洞,牙齿冷热酸疼,此为蛀牙中期。

3.龋坏影响牙髓,出现明显的疼痛,龋洞更大,此时可采用根管治疗,去除龋坏部分,充填材料,尽可能保真牙。


蛀牙进展到了末期由于牙齿结构缺损很大会慢慢崩解最后就形成了残根,这个时候可能就要面临被拔除的命运了。


面对窝沟龋怎么办?

请务必引起重视,尽快到正规的口腔医疗机构补牙。该补牙的补牙,该根管治疗就做根管治疗,总而言之,能保留自己本来的牙齿,就尽可能保留,不到万不得已,不要拔牙。


因为,牙齿拔掉不会再生,拔牙后面临的是镶牙。但即使再好的假牙,也比不上自己的真牙!


如果没有窝沟龋,那当然是再好不过了。但建议可以做窝沟封闭来预防,日常做好口腔清洁工作,定期检查,洁牙。


总之,发现蛀牙不要拖,否则越拖得久,蛀牙越严重,而治疗的花费就更多。当然,一切还是以预防为主,牙齿可是很宝贵的呢,还是希望大家好好保护好哦~


来源:口腔科 蒋志勇

宣传科编辑整理